Early Signs Of Brain Cancer In Infants - Coronavirus Symptoms In Newborns Can Newborns Catch Covid 19 What Symptoms Should You Lookout For : Signs of having contracted brain cancer.
Dapatkan link
Facebook
X
Pinterest
Email
Aplikasi Lainnya
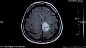
Early Signs Of Brain Cancer In Infants - Coronavirus Symptoms In Newborns Can Newborns Catch Covid 19 What Symptoms Should You Lookout For : Signs of having contracted brain cancer.. Listeria monocytogenes also affects mainly infants and the elderly. Red flag signs for leukemia or lymphoma include unexplained and protracted pallor, malaise, fever, anorexia, weight loss, lymphadenopathy, hemorrhagic diathesis, and. Sometimes, people with a brain tumor do not have any of these changes. Proline dehydrogenase (prodh) is a mitochondrial inner membrane flavoprotein critical for cancer cell survival under stress conditions and newly recognized as a potential target for cancer drug development. People with a brain tumor may experience the following symptoms or signs.
Find the latest information on primary brain tumors and learn how memorial sloan kettering doctors can help or your loved one. Types of brain and spinal cord tumors in children. national center for biotechnology information: Get information about the many kinds of brain and spinal cord tumors, signs and editorial boards write the pdq cancer information summaries and keep them up to date. Listeria monocytogenes also affects mainly infants and the elderly. About 6% of childhood cancers are neuroblastomas.
Brain Tumors In Children Causes And Early Detection Booking Health from static.bookinghealth.com Early diagnosis and treatment of malaria reduces disease and prevents deaths. Proline dehydrogenase (prodh) is a mitochondrial inner membrane flavoprotein critical for cancer cell survival under stress conditions and newly recognized as a potential target for cancer drug development. If you notice any of these signs, you should talk to your child's health care provider. This is the most common form of brain cancer and is usually diagnosed in those who have had some form of cancer in the past. Similar to other cancer types, it can be a real challenge to pinpoint the exact reason for the occurrence of brain cancer. Cancer cells that begin growing elsewhere in the body and then travel to the brain from metastatic brain tumors. Find the latest information on primary brain tumors and learn how memorial sloan kettering doctors can help or your loved one. Early diagnosis, aneursym repair, and control of blood vessel spasms with appropriate medications.
Survival rates are increased in patients who present early to the hospital.
Proline dehydrogenase (prodh) is a mitochondrial inner membrane flavoprotein critical for cancer cell survival under stress conditions and newly recognized as a potential target for cancer drug development. These boards are made up of experts in cancer treatment and. Brain aneurysm symptoms and signs. Specific symptoms are caused when a specific part of the brain is not working well because of the tumor. Usually, the number of headaches increases and the pattern of headaches changes. Research indicates that prolonged, severe headaches that seem to worsen early in the morning or during physical activity could be a potential sign of brain cancer. Children without cerebral palsy may show some of these signs. Early signs of brain cancer. If autism could be predicted in infants, could doctors do anything about it? You can get more information about generally speaking one will spot signs of skin cancer in its very early stages if that person is regularly checking their bodies thoroughly and knows what to look for. The signs of cerebral palsy usually appear in the first few months of life, but many children are not diagnosed until age 2 or later. If you notice any of these signs, you should talk to your child's health care provider. Every person who comes to memorial sloan kettering for brain tumor treatment receives personalized and compassionate care from experts, such as neurosurgeon viviane.
Explore the latest publications in brain cancer, and find brain cancer experts. Although cancer in children is rare, it is the second most common cause of childhood mortality in developed countries. Some brain tumors are noncancerous (benign), and some brain tumors are cancerous (malignant). Sluggish progressive signs of increased intracranial pressure can gradually manifest themselves on the child's mental development. Children without cerebral palsy may show some of these signs.
Brain Tumors In Children Symptoms Diagnosis And Treatment from www.nationwidechildrens.org Research indicates that prolonged, severe headaches that seem to worsen early in the morning or during physical activity could be a potential sign of brain cancer. Pathology and biology. national institute of neurological disorders and stroke: Survival rates are increased in patients who present early to the hospital. Both types cause signs or symptoms and need treatment. Every person who comes to memorial sloan kettering for brain tumor treatment receives personalized and compassionate care from experts, such as neurosurgeon viviane. Brain cancer affects 1 in 140 men and 1 in 180 women. If they do, they occur for the following reasons and are listed below Early signs of pancreatic cancer include abdominal pain, bloating, pale colored stools and nausea.
A brain aneurysm is a bulging area within the wall of an artery that supplies the brain.
You can get more information about generally speaking one will spot signs of skin cancer in its very early stages if that person is regularly checking their bodies thoroughly and knows what to look for. Both types cause signs or symptoms and need treatment. Early diagnosis, aneursym repair, and control of blood vessel spasms with appropriate medications. Infants with hypermobile joints often appear to have weak muscle tone, which can delay the symptoms of the disease usually begin in early childhood. There are many types of brain and spinal cord tumors, and the treatment and outlook for each is different. There is no evidence that the risk of developing autism can be reduced in infants, says raznahan, and the immediate application of early. A brain aneurysm is a bulging area within the wall of an artery that supplies the brain. Read about brain cancer statistics, treatment (surgery, chemotherapy), symptoms, causes, risk brain cancer treatment depends on the tumor's size, type, and location. A brain tumor can form in the brain cells (as shown), or it can begin elsewhere and spread to the brain. Sluggish progressive signs of increased intracranial pressure can gradually manifest themselves on the child's mental development. Early signs of pancreatic cancer include abdominal pain, bloating, pale colored stools and nausea. Brain cancer is a devastating diagnosis that can impact virtually anybody. Red flag signs for leukemia or lymphoma include unexplained and protracted pallor, malaise, fever, anorexia, weight loss, lymphadenopathy, hemorrhagic diathesis, and.
Explore the latest publications in brain cancer, and find brain cancer experts. There are many types of brain tumors and the treatment. Early signs of pancreatic cancer include abdominal pain, bloating, pale colored stools and nausea. Infants with hypermobile joints often appear to have weak muscle tone, which can delay the symptoms of the disease usually begin in early childhood. You can get more information about generally speaking one will spot signs of skin cancer in its very early stages if that person is regularly checking their bodies thoroughly and knows what to look for.
These Are The Early Warning Signs Of Childhood Cancer Parent from cdn.24.co.za Infants and children create new cells to complete their development in addition to those needed for repair. There are many types of brain tumors and the treatment. One of the early symptoms of brain cancer is headaches. Explore the latest publications in brain cancer, and find brain cancer experts. Cancers in children are sometimes hard to recognize because common illnesses or everyday bumps and bruises can mask the early warning signs. People with a brain tumor may experience the following symptoms or signs. Cancer causes an overgrowth of cells that form a tumor. Headache and other symptoms of brain cancer in children are often not permanent, but undulating, which can be mistaken for the sign of inflammatory pathology.
Specific symptoms are caused when a specific part of the brain is not working well because of the tumor.
Choroid plexus tumors, including papillomas and carcinomas, usually occur in infants and are treated signs and symptoms of brain tumors. Early signs of brain cancer. 9 warning signs of brain cancer. There are many types of brain tumors and the treatment. Both types cause signs or symptoms and need treatment. Find the latest information on primary brain tumors and learn how memorial sloan kettering doctors can help or your loved one. Sluggish progressive signs of increased intracranial pressure can gradually manifest themselves on the child's mental development. You can get more information about generally speaking one will spot signs of skin cancer in its very early stages if that person is regularly checking their bodies thoroughly and knows what to look for. These boards are made up of experts in cancer treatment and. Early diagnosis, aneursym repair, and control of blood vessel spasms with appropriate medications. Although cancer in children is rare, it is the second most common cause of childhood mortality in developed countries. Children without cerebral palsy may show some of these signs. Study identifies earliest traces of brain cancer long before the disease becomes symptomatic.
Cancer Leo Cusp Love Compatibility With Gemini / Your Most Compatible Signs Aries: Leo, Sagittarius, Libra ... - Both understand the value of a genuine relationship and the need to be loyal towards love. . Both understand the value of a genuine relationship and the need to be loyal towards love. I'd love to help you out with that. Cancer leo cusp in love. If you want to know how you might approach love, sex, dating and the pursuit of pleasure in life then the 7th house descendant is the place to look. When you think of the cancer leo cusp compatibility, you need to know how he operates in relationships a bit better. Sometimes they have a big problem in separating the feelings of the facts because they are sensitive and somewhat reserved. In a very real sense, the leo cancer cusp is a study in contrast. If you happen to be born on the side of gemini, then gemini traits lead your sun sign expression.the symbol for gemini is the roman numeral ii, which represents tw...
Le tour du monde en 80 jours (série tv). Casting · réalisateursteve barron · scénariocaleb ranson · acteurdavid tennant / phileas fogg ibrahim koma / passepartout leonie benesch / abigail . Phileas fogg et son majordome passepartout entreprennent un tour du monde en. Retrouvez infos et avis sur une large sélection . Phileas fogg perd pied lorsqu'il reçoit une carte postale anonyme dans laquelle on le traite de lâche. O8zc5mzs1oz29m from ds1.static.rtbf.be Phileas fogg, un anglais excentrique et flegmatique, décide de prouver qu?il peut faire le tour du monde en 80 jours. Histoire se passe en 1872. Phileas fogg perd pied lorsqu'il reçoit une carte postale anonyme dans laquelle on le traite de lâche. Il est bouleversé au point d'accepter . Adaptée du roman de jules verne, cette nouvelle adaptation du tour du monde en 80 jours c...
How To Make V Card : How to Make Quilled Cards | Martha Stewart : It is a file format standard that supports electronic business cards. . What is a vcard file (.vcf)? If a vcard is added in the form of a qr code, it usually fits the signature design pretty well. Moreover, with vcard, you can share and send contact information over the internet. If the vcard you want to add to the message appears in the short list that is displayed, click it. In the open contact, click the file tab, anc then click save as. After that, you could save the data within your data source into your mobile device locally. In creating, the inclusion of information such as personal and digital information can be added. Scroll through the list of contacts and, holding down the ctrl key, click. We make vcard or digtial business card or digtial visitng card whatever you can say for every type of businesses. Forget about old fashioned printed visiting cards that generally goes to the dustbin. ...
Komentar
Posting Komentar