Can Ct Scan Detect Breast Cancer - Suburban Imaging Can A Ct Scan Detect Cancer : Early detection also helps doctors identify precancerous tissue abnormalities destined to become different types of scans for cancer include the following.
Dapatkan link
Facebook
X
Pinterest
Email
Aplikasi Lainnya
Can Ct Scan Detect Breast Cancer - Suburban Imaging Can A Ct Scan Detect Cancer : Early detection also helps doctors identify precancerous tissue abnormalities destined to become different types of scans for cancer include the following.. Staging and treatment of breast cancer. Apart from detecting cancers, the process is also used to diagnose various other diseases and is a lifesaving tool for doctors. During a breast mri , you lie on your stomach on a padded scanning table. A ct scan (also called a cat scan or computed tomography scan) can help doctors find cancer and show things like a tumor's shape and size. Ct scans can detect bone and joint problems, like complex bone fractures and tumors.
During a breast mri , you lie on your stomach on a padded scanning table. If you have a pet scan: As a ct scan detects abnormal tissue, it is useful for planning areas for radiotherapy and biopsies, and it can provide valuable data on blood flow and other vascular conditions. Early detection also helps doctors identify precancerous tissue abnormalities destined to become different types of scans for cancer include the following. If your doctor has recommended an abdomen ct scan, make an.
Breast Cancer Ct Scan Stock Image M134 0901 Science Photo Library from media.sciencephoto.com If you have a large breast cancer, your doctor may order a ct scan to assess. Ct scan of the abdomen. Learn how this test works, as well as its benefits and risks. If cancer was detected through the nhs breast screening programme, you may need another mammogram or ultrasound scan. The ct scans, four of them over the course of the 11 weeks from my initial appointment with my primary (23 march). Ct scans can be used to identify disease or injury within various regions of the body. Early detection also helps doctors identify precancerous tissue abnormalities destined to become different types of scans for cancer include the following. Mammogram and breast us may sometimes be better.
Doctors use this type of mammogram in women with breast cancer, but with.
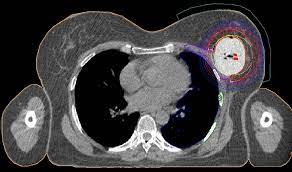
An mri scan of the breast may be. If you have a pet scan: Pet/ct scan combinations detect cancer in its earliest stages, when changes are happening at the cellular level. This combination scan is called a pet/ct. A ct scan of the heart may be ordered when various types of heart disease or abnormalities are suspected. In some cases, physicians use all three imaging techniques. This test may reveal whether breast cancer has spread to the bone. For example, ct has become a useful screening tool for detecting possible tumors or lesions within the abdomen. Learn how this test works, as well as its benefits and risks. It takes pictures from different angles. Why aren't pancreatic ct scans used in routine physical examinations to detect and prevent the spread of pancreatic cancer? A ct scan may be used to look for tumors in organs outside of the breast similar to a ct scan, a pet scan is a way to create pictures of organs and tissues inside the body. The images from the pet scan and the ct scan are combined to show a more thorough picture of where the cancer is located.
A ct scan is one of the most frequently utilized exams to detect cancer and to show things such as a tumor's shape and size. Staging and treatment of breast cancer. It takes dozens of pictures of your lungs and chest and compiles the information together. From my experience as the patient being diagnosed…. It takes pictures from different angles.
Breast Pet Scans from www.aboutcancer.com This allows detecting even minor changes, fixing the initial stages of tumor development and determining. Can a full body ct scan detect cancer? Mammogram and breast us may sometimes be better. Why aren't pancreatic ct scans used in routine physical examinations to detect and prevent the spread of pancreatic cancer? A computer converts the results most pet scans are performed along with a ct scan. Small as 1 mm in diameter, produces many false. It takes dozens of pictures of your lungs and chest and compiles the information together. If you have a pet scan:
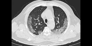
Because it is able to detect very small nodules in the lung, a chest ct scan is especially effective for diagnosing lung cancer at its earliest, most.
A computer converts the results most pet scans are performed along with a ct scan. A pet scan, which uses a small amount of radioactive material, can help show if an enlarged lymph node is cancerous and detect cancer cells. A ct scan of the heart may be ordered when various types of heart disease or abnormalities are suspected. Each has its own strengths. Ct scan of the abdomen. Ct scans can detect bone and joint problems, like complex bone fractures and tumors. During the study, the diagnostician can change the thickness of the cut up to 1 mm. The ct scans, four of them over the course of the 11 weeks from my initial appointment with my primary (23 march). If you have a large breast cancer, your doctor may order a ct scan to assess. Several studies have demonstrated that dog can sniff and detect cancer in the breath or urine sample of a patient. A ct scan is one of the most frequently utilized exams to detect cancer and to show things such as a tumor's shape and size. This test may reveal whether breast cancer has spread to the bone. Preparation for ct of the breast.
The ct scans, four of them over the course of the 11 weeks from my initial appointment with my primary (23 march). Breast cancer is a leading cause of cancer death worldwide. Doctors use this type of mammogram in women with breast cancer, but with. Learn how this test works, as well as its benefits and risks. The ct can detect some masses that would then need further evaluation.
Can Pet Ct Replace Separate Diagnostic Ct For Cancer Imaging Optimizing Ct Protocols For Imaging Cancers Of The Chest And Abdomen Journal Of Nuclear Medicine from jnm.snmjournals.org If you have a pet scan: Bone scans, positron emission tomography (pet), and computed tomography (ct) all continue to be employed alone or in combination for the detection of breast cancers suspected to have spread. Doctors use this type of mammogram in women with breast cancer, but with. Computed tomography (ct or cat) scan. Each has its own strengths. The ct can detect some masses that would then need further evaluation. An mri scan of the breast may be. This lung cancer awareness month learn how future processing is able to detect lung cancer from ct scans with the help of ai.
Ct scan of the abdomen.
Each has its own strengths. Can a full body ct scan detect cancer? It can also show changes caused by other medical conditions. How do ct scans work? This combination scan is called a pet/ct. A ct scan is one of the most frequently utilized exams to detect cancer and to show things such as a tumor's shape and size. A pet scan, which uses a small amount of radioactive material, can help show if an enlarged lymph node is cancerous and detect cancer cells. Several studies have demonstrated that dog can sniff and detect cancer in the breath or urine sample of a patient. This provides a series of images from many different angles. Computed tomography (ct or cat) scan. For example, ct has become a useful screening tool for detecting possible tumors or lesions within the abdomen. Doctors use this type of mammogram in women with breast cancer, but with. Other tests like mammograms, ultrasound and mri scans can only identify disease when there is destruction of the normal anatomy.
Cancer Leo Cusp Love Compatibility With Gemini / Your Most Compatible Signs Aries: Leo, Sagittarius, Libra ... - Both understand the value of a genuine relationship and the need to be loyal towards love. . Both understand the value of a genuine relationship and the need to be loyal towards love. I'd love to help you out with that. Cancer leo cusp in love. If you want to know how you might approach love, sex, dating and the pursuit of pleasure in life then the 7th house descendant is the place to look. When you think of the cancer leo cusp compatibility, you need to know how he operates in relationships a bit better. Sometimes they have a big problem in separating the feelings of the facts because they are sensitive and somewhat reserved. In a very real sense, the leo cancer cusp is a study in contrast. If you happen to be born on the side of gemini, then gemini traits lead your sun sign expression.the symbol for gemini is the roman numeral ii, which represents tw...
Le tour du monde en 80 jours (série tv). Casting · réalisateursteve barron · scénariocaleb ranson · acteurdavid tennant / phileas fogg ibrahim koma / passepartout leonie benesch / abigail . Phileas fogg et son majordome passepartout entreprennent un tour du monde en. Retrouvez infos et avis sur une large sélection . Phileas fogg perd pied lorsqu'il reçoit une carte postale anonyme dans laquelle on le traite de lâche. O8zc5mzs1oz29m from ds1.static.rtbf.be Phileas fogg, un anglais excentrique et flegmatique, décide de prouver qu?il peut faire le tour du monde en 80 jours. Histoire se passe en 1872. Phileas fogg perd pied lorsqu'il reçoit une carte postale anonyme dans laquelle on le traite de lâche. Il est bouleversé au point d'accepter . Adaptée du roman de jules verne, cette nouvelle adaptation du tour du monde en 80 jours c...
How To Make V Card : How to Make Quilled Cards | Martha Stewart : It is a file format standard that supports electronic business cards. . What is a vcard file (.vcf)? If a vcard is added in the form of a qr code, it usually fits the signature design pretty well. Moreover, with vcard, you can share and send contact information over the internet. If the vcard you want to add to the message appears in the short list that is displayed, click it. In the open contact, click the file tab, anc then click save as. After that, you could save the data within your data source into your mobile device locally. In creating, the inclusion of information such as personal and digital information can be added. Scroll through the list of contacts and, holding down the ctrl key, click. We make vcard or digtial business card or digtial visitng card whatever you can say for every type of businesses. Forget about old fashioned printed visiting cards that generally goes to the dustbin. ...
Komentar
Posting Komentar